Prevenzione & estetica:
il connubio perfetto della salute orale
Dott.ssa Martina Peretti — Igienista Dentale a Mantova
Trova le migliori soluzioni per la tua salute orale. Dalla prevenzione all'estetica dentale, esplora trattamenti personalizzati che trasformano il tuo sorriso in un capolavoro.
Prenota oraNon risparmiare sulla prevenzione perchè è la prevenzione che ti fa risparmiare
I miei trattamenti
I pazienti non sono numeri, ma persone con una storia. I miei trattamenti sono cuciti a misura su di te.

Igiene orale professionale con protocollo GBT
.jpeg&w=3840&q=75)
Visita parodontale
Controllo approfondito e prevenzione delle malattie gengivali

Terapia parodontale non chirurgica
Trattamento conservativo per la cura delle gengive

Visita cariologica
Controllo e prevenzione della carie dentale

Visita cariologica con focus gravidanza
Cura speciale della salute orale durante la gravidanza

Sigillature dei solchi
Protezione efficace dei denti dalla carie

Seduta di prevenzione pedodontica
Igiene orale professionale dedicata ai più piccoli

Trattamenti desensibilizzanti
Sollievo per denti sensibili e ipersensibilità dentale

Istruzioni personalizzate di igiene orale domiciliare
Consigli su misura per la tua routine di igiene orale quotidiana

Arresto delle lesioni cariose iniziali
Procedure innovative per rinforzare lo smalto e bloccare le carie nella fase iniziale

Consulenza sbiancamento
Valutazione personalizzata per il tuo sbiancamento dentale ideale

Sbiancamento dentale personalizzato
Trattamento professionale su misura per un sorriso più luminoso

Trattamento discromie dello smalto
Correzione delle alterazioni di colore dello smalto dentale

Applicazione brillantino dentale
Un tocco di brillantezza per il tuo sorriso
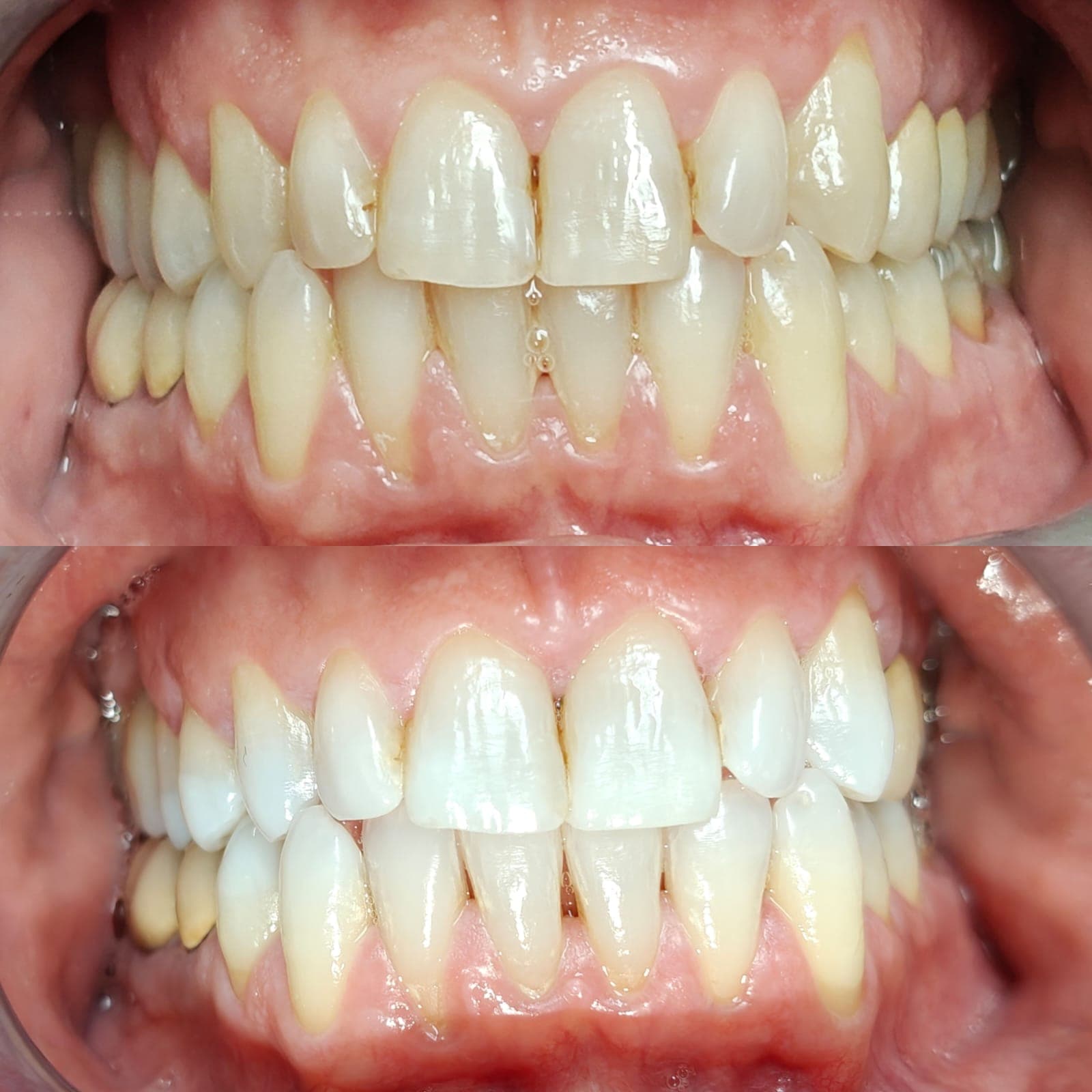
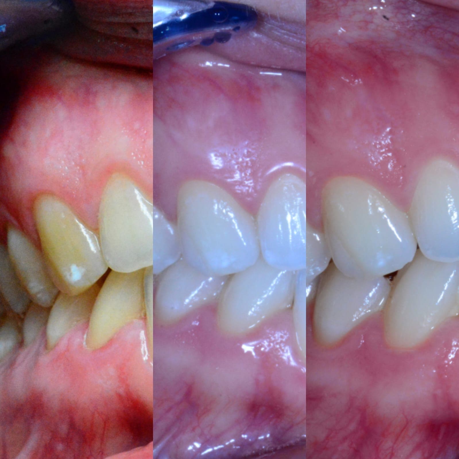
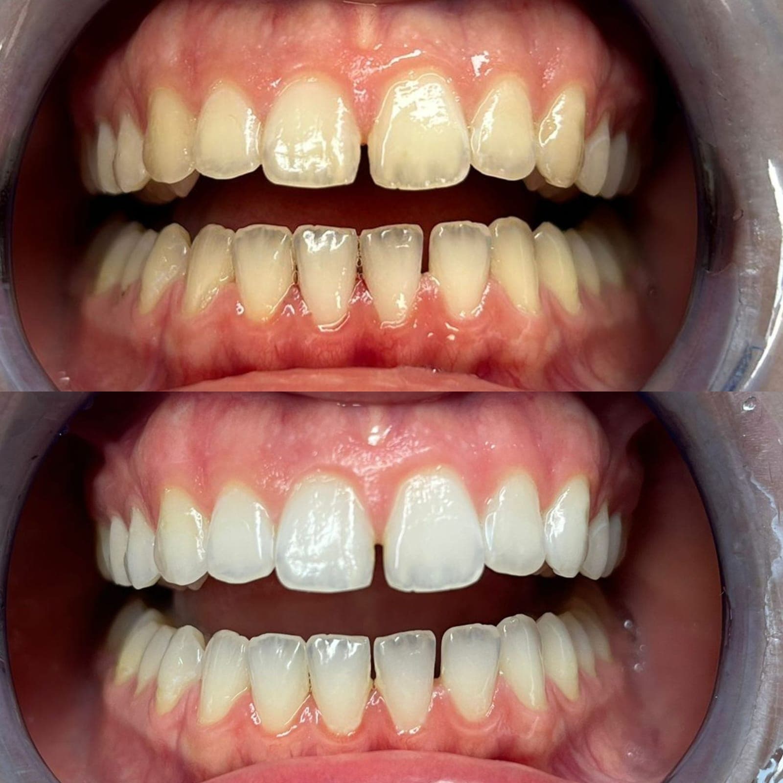
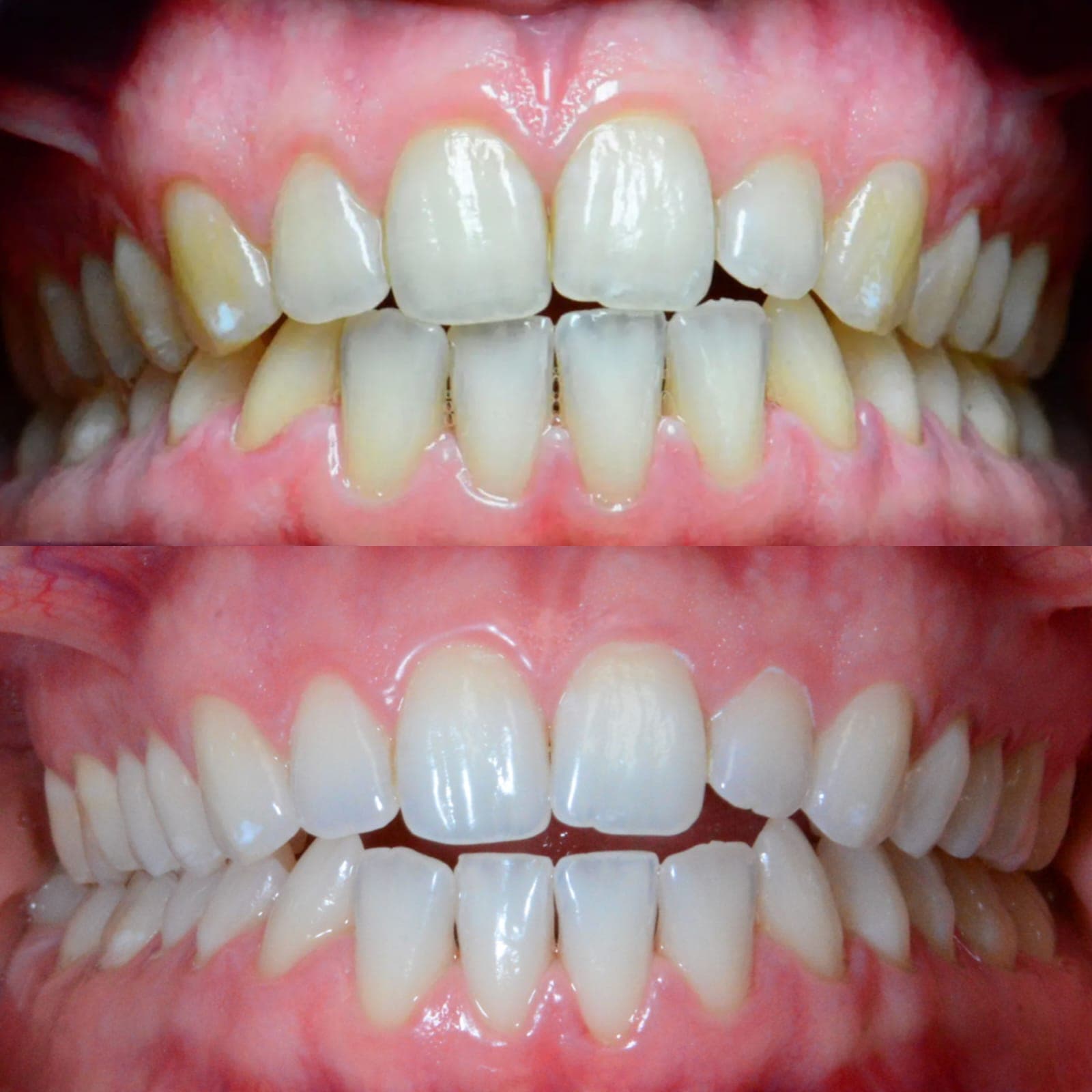
Casi Clinici
Scopri i risultati reali dei miei trattamenti, dove professionalità e attenzione ai dettagli si trasformano in sorrisi più sani e luminosi.
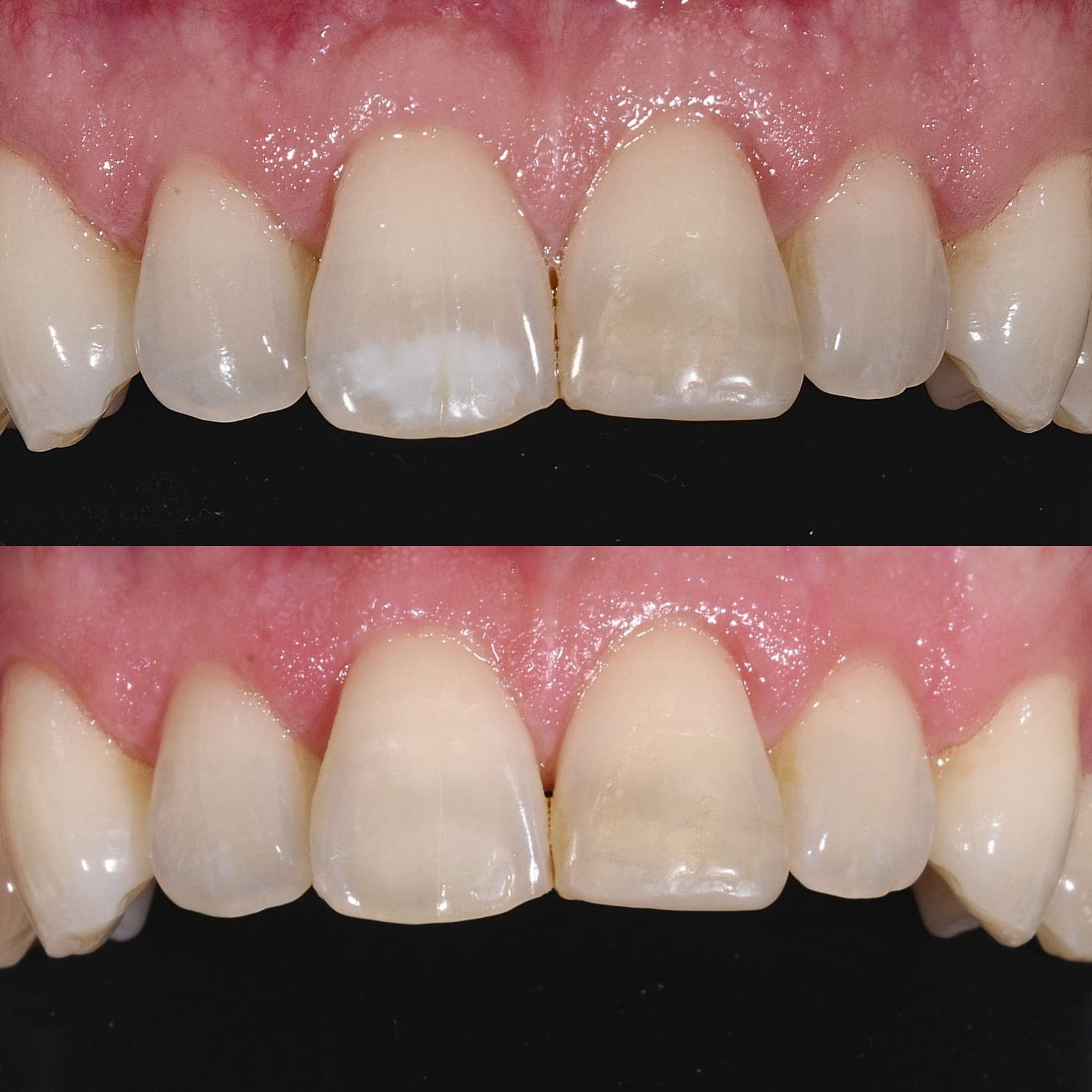
DiscromieTrattamento discromie dello smalto - Caso 3
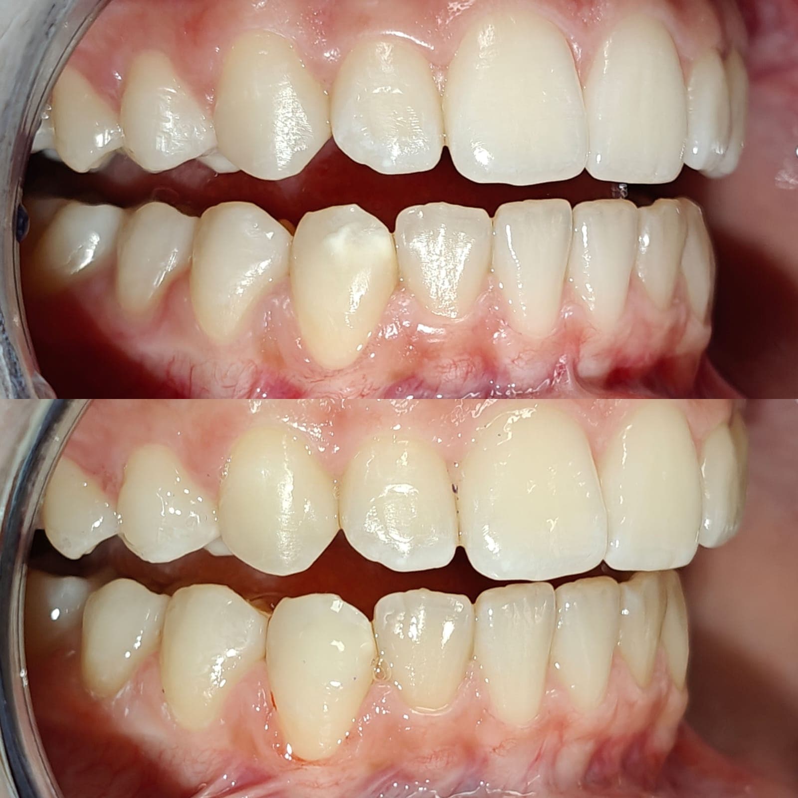
SbiancamentoSbiancamento domiciliare - Caso 1
SbiancamentoSbiancamento domiciliare - Caso 2
SbiancamentoSbiancamento domiciliare - Caso 3
DiscromieTrattamento discromie dello smalto - Caso 1
DiscromieTrattamento discromie dello smalto - Caso 2
Chi Sono
Dott.ssa Martina Peretti
Igienista Dentale
Sono un'igienista dentale con una profonda passione per la salute orale e l'estetica del sorriso. La mia missione è accompagnarti in un viaggio verso il benessere dentale, combinando tecniche all'avanguardia con un approccio personalizzato e attento alle tue esigenze.
Mi sono laureata nel 2018 all'Università degli Studi di Verona e dal 2019 opero nel territorio mantovano portando avanti la missione della prevenzione orale studiando ed applicando protocolli sempre più innovativi. A tal proposito mi sono specializzata ottenendo con successo la certificazione per eseguire l'igiene orale professionale con il nuovissimo protocollo GBT (Guided Biofilm Therapy), un metodo innovativo che garantisce una seduta d'igiene mirata, indolore e minimamente invasiva.
Nella mia attività clinica mi sono appassionata molto all'estetica dentale spaziando dagli sbiancamenti ai trattamenti di discromie dello smalto.
Mi ritengo pioniera della prevenzione a 360°, quindi reputo fondamentale informare il paziente su come prevenire le principali patologie del cavo orale, come la carie e la parodontite. Ecco perché ho ideato delle visite specifiche inerenti a questi argomenti.

Certificata
GBT
Cosa dicono i miei pazienti
"Professionalità e gentilezza fanno di ogni appuntamento un'esperienza positiva. Il trattamento GBT è stato delicato e i risultati sono visibili fin da subito!"
Laura M.
"Finalmente un'igienista che mi ha fatto capire l'importanza della prevenzione. Grazie ai suoi consigli ho migliorato notevolmente la mia igiene orale quotidiana."
Marco R.
"Lo sbiancamento professionale ha superato le mie aspettative! Risultato naturale e denti più bianchi. Consigliatissimo!"
Sofia P.
"Ambiente accogliente e professionale. La visita parodontale è stata molto accurata e ho ricevuto tutte le informazioni necessarie per migliorare la mia igiene orale."
Giovanni T.
"Esperienza eccellente! Martina è molto professionale e attenta. Il trattamento è stato indolore e i risultati sono fantastici."
Francesca B.
"Un servizio impeccabile! La cura e l'attenzione ai dettagli sono straordinarie. Consiglio vivamente!"
Alessandro D.
Dove mi trovi a Mantova
Il venerdì ricevo a Cerese di Borgo Virgilio, a 5 minuti di auto dalla città di Mantova, comodamente raggiungibile dai mezzi pubblici. Verrete accolti in uno studio intimo e tranquillo, accessibile a tutti, senza barriere architettoniche e con facilità di parcheggio gratuito in strada.
Indirizzo
Via XXV Aprile, 44
46034 Cerese MN




Dal lunedì al giovedì ricevo presso l'ambulatorio dentistico Sanitas, uno studio all'avanguardia e di qualità eccellente, senza barriere architettoniche e con parcheggio riservato alla clientela.
Ambulatorio Dentistico Sanitas
Piazza Cesare Mozzarelli, 6
46100 Mantova
0376 22 0800




Prenota il tuo appuntamento
Inizia il tuo percorso verso un sorriso più sano e luminoso. Contattami su WhatsApp per ricevere informazioni sui trattamenti e prenotare la tua visita.
Prenota oraRispondo a tutti i messaggi entro 48 ore
